la nostra paziente marie

Pazienti – Dentorium Studio dentistico: Marie

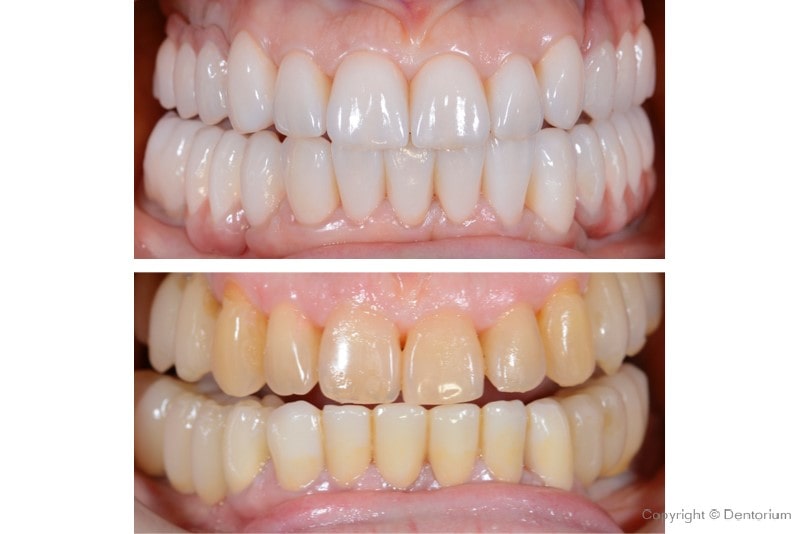
Completa riabilitazione estetico funzionale

Ho avuto la fortuna di scoprire il lavoro dell dott. Daniel Žgombić e del suo team presso la Clinica Dentorium di Rijeka.

Marie

I problemi con i quali la paziente è venuta da noi includevano:

  • instabilità funzionale di ambedue le maschelle e del morso
  • lavoro protesico precedente insoddisfacente e incompleto
  • l'impossibilità di un morso normale accompagnato da disagio generale nell'area del viso, dei denti, dei muscoli e dell'articolazioni
  • problema estetico della mancanza di armonia tra i denti ed il viso

La soluzione del problema era basata sulla diagnosi completa dello stato attuale e sulla pianificazione della soluzione finale che includeva:

Rispettando le regole e le relazioni reciproche della biologia - funzionie- estetica abbiamo restituito l'armonia naturale e l'estetica del sorriso della nostra paziente.

Il caso di: Dott. Daniel Zgombic, dott.ssa odontoiatra Tijana Brajkovic Cindric

Laboratorio odontotecnico: Dental InPuls (Mauro Ahmić, Sandi Trkulja)

Non solo ho scoperto gli esperti nel campo che hanno risolto il problema dentale dal quale ossessivamente avevo sofferto per lungo tempo, ma anche un autentico maestro che intreccia l'abilità tecnica con la naturale sensazione e rivelazione della bellezza in ogni persona che diventa sua paziente attraverso la fotografia d'arte.

Tuttavia, questa sarebbe una valutazione incompleta senza aver nominato il supporto di ognun splendido e grande membro del suo team nel creare sentimenti di benessere per i pazienti in questa inusuale clinica dentale dove si puo’ sentire un lavoro di squadra di successo in azione.

Mi sono sentita benvenuta in ogni modo possibile. Prima dell'arrivo mi sono state fornite tutte le informazioni necessarie sulle terapie proposte, mentre l'atmosfera rilassante nella sala d'attesa ha allontanato tutta la mia ansia che potevo avere prima del trattamento. Questa è la migliore clinica dentistica che posso caldamante raccomandare!

Articolo correlato:

ispirati dalla bellezza della natura